info@drnabi.com 02188873135
دکتر نبی بیدهندی

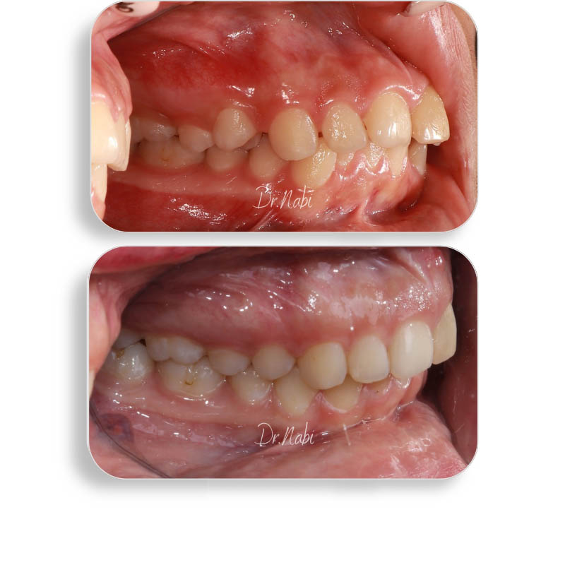
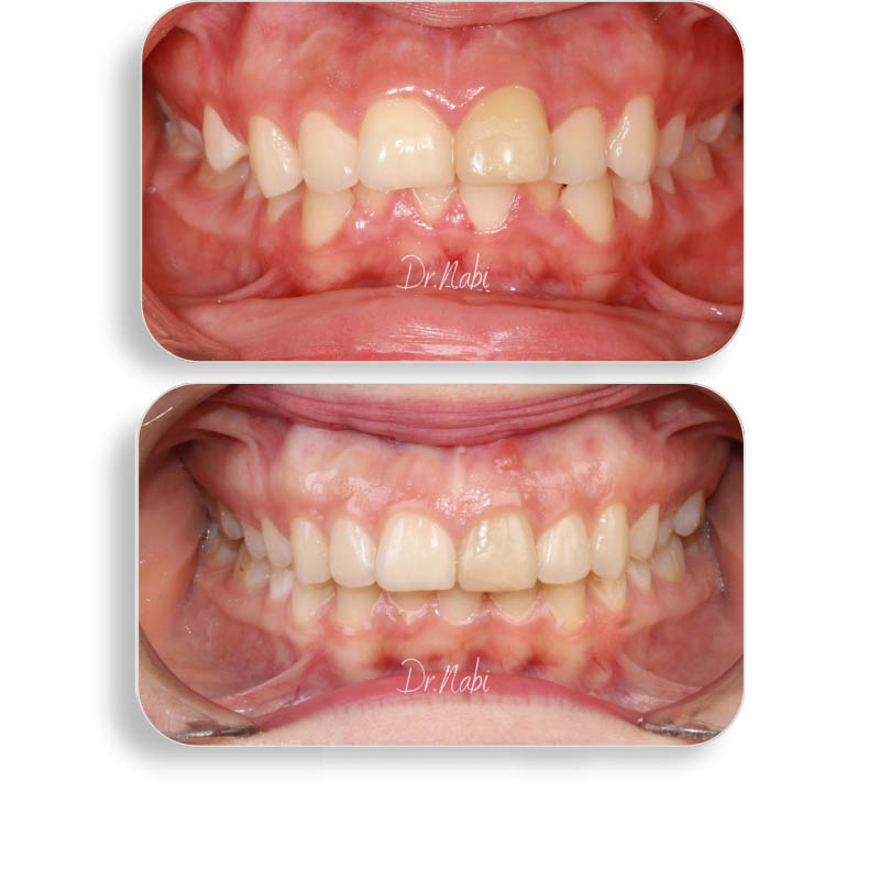
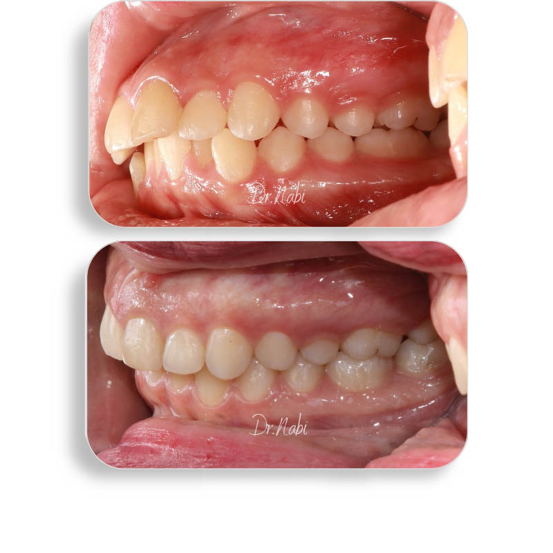
سارینا عزیز به دلیل نامرتی دندونها و سیزربایت (دندونهای عقبی فک بالا کاملا بیرون فک پایین قرار میگیرن) مراجعه کرد.

یکی از دندونهای جلویی فک بالا (سانترال) به دلیل ضربه در کودکی پیوند شده بود. به همین خاطر بسیار اهمیت داشت که هنگام درمان هیچ نیرویی به اون وارد نکنیم تا ثباتش حفظ بشه.

یک دندون از دندونهای جلویی فک پایین کشیده شد تا فضای کافی برای اصلاح نامرتبی ها ایجاد بشه.

درمان با ارتودنسی نامرئی انجام شد و با برنامه درمانی دقیق، سیزر بایت اصلاح و نامرتبی دندونها برطرف شد.

این درمان نمونه ای از توانایی ارتودنسی نامرئی در اصلاح مشکلات پیچیده تر فکی-دندونی بدون نیاز به براکتهای فلزی هست.


اگر شما هم میخوای بدونی ارتودنسی نامرئی برات مناسبه یا نه با دکتر نبی وقت مشاوره ارتودنسی رزرو کن.

واتساپ

تماس تلفنی

02188873135 - 02188873136 - 09912806784

اصلاح سیزر بایت و نامرتبی با ارتودنسی نامرئی

نام مشتری
: خانم س- م
خدمات
: ارتودنسی نامرئی، مزایا، هزینه و الاینر شفاف با دکتر نبی
تاریخ شروع
: Dec 07, 2020
تاریخ پایان
: Jan 12, 2022
وضعیت
: Completed