info@drnabi.com 02188873135
دکتر نبی بیدهندی

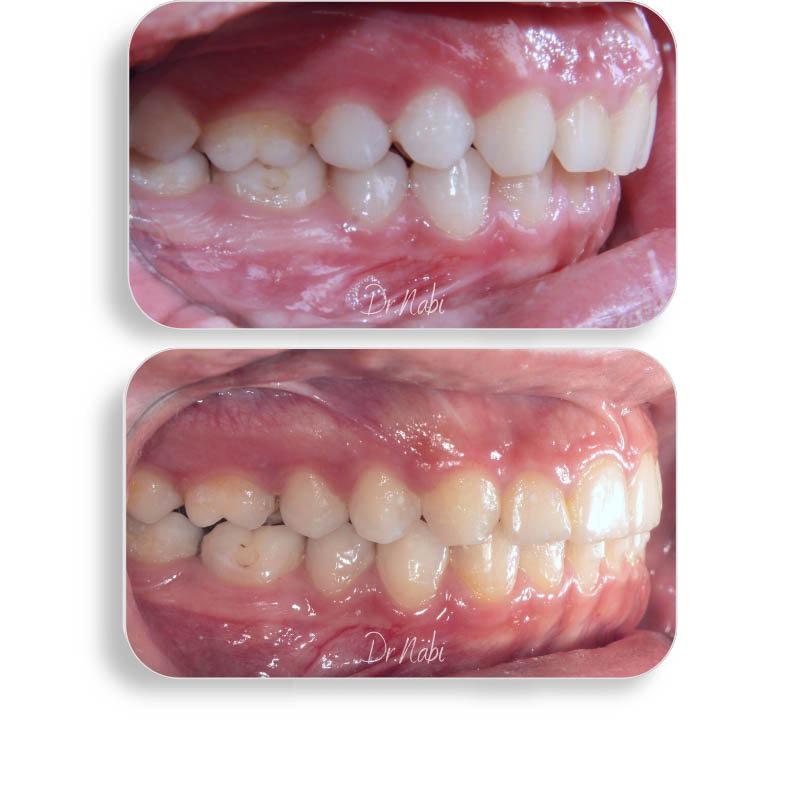
ملیکا عزیز 16 ساله، در حال مهاجرت از ایران، با همپوشانی عمودی بیش از حد فک بالا و پایین (دیپ بایت)، عقب بودن نسبی فک پایین (کلاس2) و نامرتبی دندونها، مراجعه کرد.

درمان با ارتودنسی نامرئی و طراحی دیجیتال دکتر نبی تقریبا 11 ماه طول کشید.


اگه شما هم میخوای مهاجرت کنی بهترین گرینه ارتودنسی نامرئیه که بتونی پلاکها رو با خودت ببری و نیاز به مراجعه حضوری نداشته باشی.


واتساپ

تماس تلفنی

02188873135 - 02188873136 - 09912806784  


اصلاح دیپ بایت و کلاس 2 با ارتودنسی نامرئی

نام مشتری
: خانم م - ش
خدمات
: ارتودنسی نامرئی، مزایا، هزینه و الاینر شفاف با دکتر نبی
تاریخ شروع
: Sep 08, 2020
تاریخ پایان
: Jul 12, 2021
وضعیت
: Completed