info@drnabi.com 02188873135

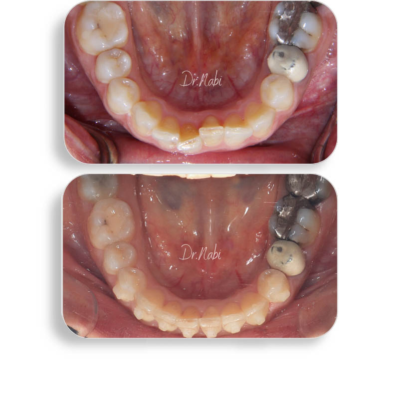
خانم 37 ساله که به جهت اصلاح نامرتبی فک پایین مراجعه کردند. در حدود 10 ماه با ارتودنسی نامرئی تمامی نامرتبی ها اصلاح شد.


درمان نامرتبی فک پایین با ارتودنسی نامرئی

نام مشتری
: خانم ن-ص
سرویس
: ارتودنسی نامرئی، مزایا، هزینه و الاینر شفاف با دکتر نبی
تاریخ شروع
: Nov 30, 2020
تاریخ پایان
: Sep 25, 2021
وضعیت
: Completed