info@drnabi.com 02188873135
دکتر نبی بیدهندی

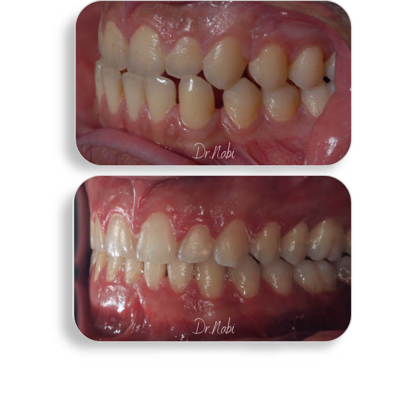
رامین عزیز تو 18 سالگی مراجعه کرد. با توجه به نیازشون درمان با ارتودنسی نامرئی انجام شد.

با طراحی دیجیتال دکتر نبی و رعایت تمام نکات ارتودنسی نامرئی توسط ایشون جلوزدگی فک پایین درمان و فواصل بین دندانی  بسته شد.


اگه شما هم میخوای با یه روش نامحسوس درمان ارتودنسی انجام بدی برای وقت مشاوره ارتودنسی و بررسی مدارک با مطب تماس بگیر.


واتساپ

تماس تلفنی

02188873135 - 02188873136 - 09912806784

اصلاح جلو زدگی فک پایین با ارتودنسی نامرئی

نام مشتری
: آقای ر- ف
خدمات
: ارتودنسی نامرئی، مزایا، هزینه و الاینر شفاف با دکتر نبی
تاریخ شروع
: Oct 14, 2019
تاریخ پایان
: Feb 01, 2021
وضعیت
: Completed