کاندیدای مناسب ارتودنسی ثابت از نظر مشکلات دندان و فک
ارتودنسی ثابت برای کسایی مناسبه که مشکلات دندون و فکشون جدیه و دنبال درمان دقیق و کنترل شده هستن. اینجا چند نمونه از کیسهایی که بیشتر به ارتودنسی ثابت نیاز دارن رو توضیح میدم:
- دیپ بایت شدید
وقتی دهانتو میبندی دندونای جلویی فک بالا بخش زیادی از دندونای فک پایین رو میپوشونن. این باعث میشه دندونها سریعتر ساییده بشن، گاهی درد فک داشته باشی و لبخندت کمی نامتقارن دیده بشه.

- اپن بایت شدید
وقتی دندونای جلویی فک بالا و پایین روی هم نمیشینن و بینشون فاصله باقی میمونه، حتی وقتی دهانتو میبندی. جویدن سخت میشه و ظاهر لبخند هم بهم میریزه.

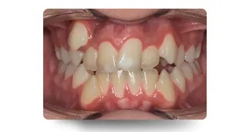
- شلوغی شدید یا کراودینگ
وقتی دندونها خیلی نامرتب هستن و چرخشهای شدید دارن. تمیز کردن دندون سخت میشه و احتمال پوسیدگی و مشکلات لثه بالا میره.

- کیس های کشیدن دندان
برخی نامرتبیها اونقدر شدیده که بدون کشیدن چند دندون، دندونها جایی برای درست جا گرفتن ندارن. با کشیدن، فضای کافی ایجاد میشه و بقیه دندونها منظم و سر جای درستشون قرار میگیرن.
- کیس های ارتو سرجری
برخی مشکلات فکی و دندونی اونقدر جدیه که نیاز به ارتودنسی و جراحی فک داره. ارتودنسی ثابت تو این کیسها نقش آمادهسازی دندونها رو داره تا جراحی راحتتر و نتیجه دقیقتر باشه. نمونههاش اینا هستن:
1- کلاس ۲ (Overjet زیاد)
وقتی فک بالا خیلی جلوتر از پایین باشه، میگیم کلاس ۲. این مشکل ظاهر لبخند رو تغییر میده، دندونای جلو سریعتر ساییده میشن و جویدن سختتر میشه. در موارد شدید، ارتودنسی ثابت قبل از جراحی فک، دندونها رو آماده میکنه تا بعدش جراحی راحتتر انجام بشه.

2- کلاس ۳ (Underbite)
وقتی فک پایین جلوتر از بالا باشه، میگیم کلاس ۳. این مشکل روی جویدن، ظاهر لبخند و سلامت دندونها اثر میذاره. اگر شدت مشکل کلاس ۳ به جوری باشه که نیاز به ارتو سرجری باشه، ارتودنسی ثابت دندونها رو مرتب و آماده میکنه تا جراحی دقیق و راحت باشه.

3- نامتقارنی شدید فک
وقتی شکل فک خیلی نامتقارن باشه، احتمال ارتو سرجری هست. ارتودنسی ثابت مثل آمادهسازی دندونها قبل جراحی عمل میکنه و باعث میشه جراحی راحتتر و نتیجه پایدارتر باشه.

- دندان نیش خارج از قوس
وقتی دندون نیش درست تو قوس دندونها قرار نگرفته و بیرون زده، یا از بالای لثه در اومده، ظاهر لبخند بهم میریزه و ممکنه فشاری روی دندونای کناری بیاره. ارتودنسی ثابت میتونه دندون نیش رو مرحله به مرحله جا بندازه و با بقیه دندونها هماهنگ کنه.

- دندان نهفته
دندونی که هنوز از لثه بیرون نیومده و تو استخون فک گیر کرده، دندون نهفته حساب میشه. گاهی اوقات اغلب با ارتودنسی ثابت میشه تا دندون نهفته درست سر جای خودش بیاد.

در این شرایط با درمان ارتودنسی ثابت، نتیجه دقیق و پایدار میگیری و حرکت دندونهات کنترل شدست.
نکته: اگه نامرتبی دندونهات خفیف تا متوسطه و مشکل فکی نداری، و دنبال یه روش ظریفتر هستی که کمتر معلوم باشه، میتونی درباره ارتودنسی نامرئی هم اطلاعات کسب کنی.
کاندیدای مناسب ارتودنسی ثابت از نظر رفتار و همکاری
- میتونن بهداشت رو مرتب رعایت کنن و براکتها و سیمها رو تمیز نگه دارن
- آماده هستن هر چند هفته یه بار برای تنظیم براکتها مراجعه کنن
- صبر و همکاری لازم برای یک درمان طولانی مدت دارن
- به توصیه های دندانپزشک گوش میدن و پروسه درمان رو جدی میگیرن
کاندیدای مناسب ارتودنسی ثابت از نظر سلامت دهان و دندان
- لثه ها سالم باشه و التهاب یا بیماری نداشته باشن
- دندونها منظم و بدون پوسیدگی شدید باشن
- ایمپلنتهای متعدد نداشته باشن، چون حرکت دندونها و کنترل براکت رو سخت میکنه
- سلامت کلی، دهان فک و استخوان مناسب باشه تا درمان بدون مشکل پیش بره
کاندیدای مناسب ارتودنسی ثابت از نظر سن
- ارتودنسی ثابت معمولا از حدود ۱۲ سالگی به بعد قابل انجامه؛ یعنی زمانی که رویش دندونهای دائمی کامل میشه. از این سن به بعد، اگه شرایط دندون و فک مناسب باشه، میشه درمان ارتودنسی ثابت رو شروع کرد.
- بزرگسالان هم در هر سنی میتونن ارتودنسی انجام بدن، به شرطی که لثه و دندونها سالم باشن و بیماری فعال لثه یا مشکل جدی تحلیل استخوان نداشته باشن. ارتودنسی ثابت محدودیت سنی نداره و فقط مختص نوجوانان نیست.
اگر فکر میکنی ارتودنسی ثابت میتونه گزینه مناسبی برات باشه، بهترین کار اینه که معاینه حضوری با دکتر نبی انجام بدی.
تو جلسه مشاوره مشخص میشه:
- واقعا کاندیدای ارتودنسی ثابت هستی یا نه
- نیاز به کشیدن دندون داری یا نه
- احتمال جراحی فک وجود داره یا نه
- مدت درمان و مسیر درست کارت چیه
برای تصمیم درست، حدس و گمان کافی نیست؛ مشاوره با دکتر نبی همه چیز رو روشن میکنه.
رزرو نوبت مشاوره حضوری
واتساپ
02188873135 - 02188873136 - 09912806784
