مدارک و عکسهای لازم برای ارتودنسی
اگر
این مقاله را میخونی، به احتمال زیاد از مطب دکتر نبی وقت ویزیت ارتودنسی گرفتی. برای جلسه ویزیت، لطفا عکس OPG و لترال
سفالومتری را همراه داشته باش. در ادامه این صفحه، خیلی شفاف توضیح میدم چرا
این عکسها قبل از ویزیت لازم هستن، در جلسه ویزیت چه مواردی بررسی میشه و چه
سوالهایی بهتر است از دکتر نبی بپرسی.
طبیعه که قبل از جلسه مشاوره کمی سوال و ابهام داشته باشی. پیشنهاد میکنم چند دقیقه وقت بذاری و مقاله را تا انتها بخوانی تا با آمادگی ذهنی کامل وارد جلسه مشاوره بشی و تصمیم گیری دقیق تری درباره درمانت داشته باشی.
روند تهیه مدارک ارتودنسی چطور است؟
برای
جلسه مشاوره و بررسی اولیه، لازمه عکس OPG و لترال
سفالومتری را همراه بیاری. این دو تصویر کمک میکنن دکتر نبی تو همون جلسه
اول، وضعیت دندونها و فک شما را دقیق تر بررسی کنه و توضیحات شفاف تری به شما بده.
برای
گرفتن این عکسها حتما به یک رادیولوژی تخصصی فک و صورت مراجعه کن. مطمئن شو بعد از گرفتن تصاویر، لینک دیجیتال یا CD عکسها به شما داده میشه.
نکته
مهم: اگر در 6 ماه گذشته همین عکسها را گرفتی و کیفیت
مناسبی داره، نیازی به تکرار نیست. همون تصاویر قبلی کاملا قابل استفاده هستن.
اگر
بعد از مشاوره نیاز به CBCT باشد
گاهی بعد از بررسی اولیه، ممکن است دندان نهفته، تحلیل استخوان یا شایط پیچیده تری وجود داشته باشه که برای تصمیم گیری دقیق تر دکتر نبی برای شما CBCT تجویز میکنن. نگران نباش؛ CBCT فقط در صورت نیاز واقعی درخواست میشه.
بعد
از اینکه تصمیم گرفتید درمان را شروع کنید
وقتی
بعد از مشاوره تصمیم نهایی برای شروع درمان گرفتی، نوبت تکمیل مدارک شروع درمان هست. در این مرحله:
فوتوگرافی ارتودنسی با دوربین عکاسی باید انجام بدی تا وضعیت فعلی صورت و دندانها ثبت بشه. که در طی درمان پیشرفت رو بتونیم چک کنیم.
اسکن دیجیتال داخل دهان با اسکنر در مطب ما تهیه میشه و دیگه
نیازی به قالب گیریهای قدیمی و آزاردهنده نداری.
برای
فوتوگرافی میتونی به استودیو عکاسی پزشکی نزدیک منزل یا نزدیک مطب مراجعه
کنی. فقط مهمه عکسها استاندارد و با کیفیت باشن و حتما لینک یا CD تصاویر را تحویل
بگیرید.
آیا میشود بدون عکس، مشاوره ارتودنسی انجام داد؟
خیلیا این سوال را میپرسن. پاسخ کوتاه و صادقانه اینه:
خیر،
به شکل اصولی
نمیشه بدون OPG و لترال سفالومتری اطلاعات مهمی مثل وضعیت ریشه ها، استخوان فک،
دندونهای نهفته یا مشکلات پنهان رو بررسی کرد. در این شرایط طرح درمان و مشاوره ناقص و بر
پایه حدسه. هدف ما اینه که از همون ابتدا، تصمیم گیری دقیق و علمی
انجام بشه و درمان شما نصفه و نامطمئن پیش نره.
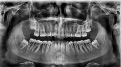
OPG یا عکس پانورامیک
این تصویر یک نمای کلی از همه دندونها و ریشه ها به ما میده. وجود دندان نهفته، دندان غایب، مشکلات ریشه، کیست یا ضایعات وسیع در این عکس مشخص میشه. برای تمام بیماران ارتودنسی، OPG اولین و پایه ای ترین تصویر تشخیصی هست.

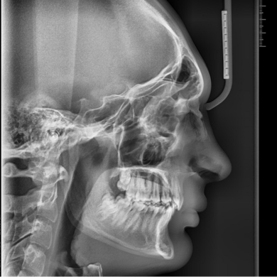
لترال سفالومتری
این عکس به بررسی روابط اسکلتی فک بالا و پایین، الگوی رشد، فرم صورت و پروفایل کمک میکنه. در بیمارانی که ناهنجاریهای اسکلتی دارند یا تصمیمات درمانی مهمی پیش روست، لترال سفالومتری نقش کلیدی داره.
نکته:
هنگام گرفتن عکس حتما به رادیولوژیست تاکید کن که مهره های گردنی مشخص باشد
مخصوصا برای اطفال.

فوتوگرافی ارتودنسی
فوتوگرافی کمک میکنه لبخند، تقارن صورت، خط وسط دندانی و جزئیات زیبایی به صورت واقعی بررسی بشه. این تصاویر قبل، حین و بعد از درمان برای مقایسه و ارزیابی نتیجه استفاده میشوند و بخشی از پرونده دیجیتال بیمار هستن.

اسکن داخل دهان
اسکن داخل دهانی یک مدل سه بعدی دقیق از دندونها و رابطه فکی شما تهیه میکنه. این روش جایگزین قالب گیری سنتی شده، هم دقت بالاتری داره و هم برای بیمار راحت تره. این اسکن پایه تحلیل درمان ارتودنسی ثابت، ارتودنسی نامرئی و ارتودنسی اطفال هست.

CBCT
CBCT تصویربرداری سه بعدی دقیق از استخوان و ریشه هاست و فقط در شرایط خاص تجویز میشه؛ مثل بررسی دندان نهفته یا تحلیل استخوان . این تصویر اطلاعات حیاتی برای درمانهای پیچیده فراهم میکنن.

پرونده ارتودنسی کاملا دیجیتال
در مطب دکتر نبی تمام مدارک، تصاویر و شرح درمانها به صورت دیجیتال ثبت میشه. پرونده کاغذی وجود نداره و همه چیز منظم، شفاف و قابل پیگیری هست. این موضوع هم کار ایشون را دقیق تر میکنه و هم خیال بیمار رو راحت تر. و در صورت درخواست میتونی از طریق سایت به پرونده دیجیتالت دسترسی داشته باشی.
این سوالها را در جلسه مشاوره دم دست نگه دارید
اگر
دوست داری جلسه مشاوره شما واقعا مفید باشه، بهتره این سوالها را از قبل
بدونی. میتونی همین بخش رو ذخیره کنید یا اسکرین شات بگیری و در جلسه از دکتر
نبی بپرسی:
- مشکل
اصلی دندانها و فک من چیه؟
- کدام
روش ارتودنسی برای من مناسب تره و چرا؟
- درمانم
حدودا چقدر طول میکشه؟
- آیا
نیاز به کشیدن دندون دارم؟
- آیا دندون نهفته یا تحلیل استخوان دارم؟
- آیا
نیاز به کشیدن دندون عقل هست؟
- در
طول درمان چه نکاتی را باید رعایت کنم؟
- هر
چند وقت یکبار باید به مطب مراجعه کنم؟
- هزینه ارتودنسی و شرایط پرداخت چگونه ست؟
هزینه مدارک اولیه ارتودنسی
هزینه
تقریبی تهیه مدارک اولیه شامل OPG، لترال سفالومتری و فوتوگرافی کلینیکی حدود 2
میلیون تومانه. این مبلغ مربوط به مدارک تشخیصی قبل از شروع درمانه که خارج
از مطب باید تهیه کنی و به برنامه ریزی دقیق و اصولی درمان کمک میکنن.
اسکن
داخل دهان در مطب دکتر نبی انجام میشه و برای شمایی که درمان ارتودنسی خود را
با ما شروع میکنن، هزینه جداگانه ای نداره. این اسکن به عنوان بخشی از روند تشخیصی و تشکیل
پرونده دیجیتال انجام میشه.
