ارتودنسی نامرئی گزینه فوق العاده ایه اگه دلت میخواد دندونات صاف و مرتب باشه ولی بدون سیم و براکت. در این روش با استفاده از پلاکهای شفاف متحرک، دندونهاتون به صورت کنترل شده و مرحله به مرحله جابه جا میشن. در مطب دکتر نبی در تهران ارتودنسی نامرئی برای بیمارانی انجام میشه که ظاهر لبخند براشون مهمه و میخوان بدون جلب توجه، درمان ارتودنسی دقیق و قابل پیش بینی داشته باشن.اینجا همه چیز درباره طول درمان، هزینه و مراحل انجام ارتودنسی شفاف در تهران گفته شده [1].
برای بررسی اینکه آیا کاندید درمان با ارتودنسی نامرئی هستی، همین حالا وقت مشاوره با دکتر نبی رزرو کن.
ارتودنسی نامرئی، روشی هست که با استفاده از یک سری پلاک شفاف (الاینر) که مرحله به مرحله دندوناتو جا به جا میکنه انجام میشه. متحرکه و فقط وقتی غذا میخوری یا مسواک میزنی، باید درش بیاری و در سایر ساعات باید روی دندونها قرار داشته باشه [2].
مدت درمان ارتودنسی شفاف و تعداد پلاکها، به میزان نامرتبی دندونها و طرح درمان اختصاصی شما بستگی داره، معمولا بین ۶ تا ۱۸ ماه متغیره [3].
نحوه استفاده ارتودنسی نامرئی، فقط کافیه هر الاینر رو روزی ۲۰ تا ۲۲ روی دندونات باشه و بعد دو هفته شماره بعدی رو بذاری. هر پلاک یه مقدار خیلی کوچیک دندونات رو حرکت میده و همینطور مرحله به مرحله دندونات به جای درستشون میرسن. و با رعایت بهداشت ساده، نتیجه عالی میشه [2][4].
این روش خیلی مناسبه برای افرادی، با نامرتبی خفیف تا متوسط، فاصله بین دندونها و کسایی که دوست ندارن ظاهر ارتودنسی ثابت دیده بشه. معمولا برای نا مرتبی های خیلی شدید دندون نیش خارج از قوس و کیسهای کشیدنی پیشنهاد نمیشه [5].
هزینه ارتودنسی نامرئی، مبلغ ثابت نداره و کاملا به میزان نامرتبی دندونها و تعداد الاینری که نیاز داری بستگی داره. تو مطب دکتر نبی، هزینه ارتودنسی نامرئی معمولا از حدود ۳۵ میلیون شروع میشه و در کیسهای پیچیده تر ممکنه تا حدود ۷۰ میلیون برسه [1].
برخلاف بسیاری از مراکز که طراحی حرکت دندونها را به لابراتوار میسپارند، در مطب دکتر نبی طراحی درمان مستقیما توسط خود پزشک انجام میشه [1].
فیلم طراحی
خروجی طراحی با 3D پرینتر چاپ میشه و پلاکها تحت لیسانس American Orleans Inc با دستگاههای دقیق برای شما ساخته و شماره گذاری میشن.
فیلم پرینتر
اگر نیاز به اتچمنت خاصی روی دندونها داشته باشی، قرار میگیره و بعد پلاکها تحویلت داده میشن.
هر الاینر رو دو هفته استفاده کن و بعد شماره بعدی رو شروع کن. روزی 20 تا 22 ساعت استفاده ضروریه و فقط برای غذا و مسواک بردار [2][5].

هر 4 تا 6 هفته، روند حرکت دندانها بررسی میشه. ویزیتها کوتاه و بدون درد هستن.
بعد از پایان درمان، نگهدارنده شفاف یا همون ریتینر باید استفاده کنی تا دندونات برنگردن. معمولا الاینر آخر رو میتونی به عنوان ریتینر بزاری و هر وقت خراب شد یه نسخه جدید برات ساخته میشه.
در این بخش تعدادی از کیسهای واقعی درمان شده با ارتودنسی نامرئی رو میبینی. تصاویر قبل و بعد، میزان نامرتبی دندونها، نوع اصلاح انجام شده و مدت زمان درمان به صورت خلاصه نمایش داده شده. تمامی درمانها تحت برنامه ریزی تخصصی دکتر نبی و با پیگیری مستمر انجام شده، تا علاوه بر بهبود زیبایی لبخند، پایداری نتیجه نیز حفظ بشه [2].
برای مشاهده نمونه درمانهای بیشتر ارتودنسی نامرئی میتونی به این صفحه مراجعه کنی.
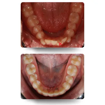
این آقای نوجون به دلیل سابقه ضربه و درمان ریشه دندان سانترال چپ بالا، محدودیت استفاده از براکت داشتیم. درمان کامل با الاینر شفاف انجام شده. روتیشن 90 درجه دندان پرمولر اصلاح ودندون نیش خارج از قوس به موقعیت صحیح هدایت شد و لبخند پایدار و هماهنگ حاصل شد.

این خانم عزیزمون، به دلیل نامرتبی نسبتا شدید و کمبود فضا، یک دندان جلویی فک پایین کشیده شد و درمان با الاینرهای شفاف حدود یک سال طول کشید. قوس دندونها کمی وسیعتر شد و تمامی نامرتبیها به طور طبیعی اصلاح شدن.

این آقای عزیز به دلیل وسواس شدید نسبت به دیده شدن براکتها، درمان با الاینر شفاف انجام شد. با تجربه دکتر نبی دندونهای جلوی فک بالا که کاملا پشت فک پایین قرار داشتن، اصلاح شدن و رابطه فکی بسیار بهبود یافت. ایشون از نتیجه درمان و راحتی جویدن بعد درمان بسیار راضی بودن. البته خودشون هم در طول 18 ماه درمان بسیار همکاری کردن.

معمولا توصیه نمیشه یا نیاز به بررسی داره:
تشخیص قطعی فقط بعد از معاینه حضوری و بررسی مدارک ارتودنسی ممکنه.
در مطب دکتر نبی، تعداد زیادی از بیماران ما از شهرهای دیگر ایران و حتی ایرانیهای ساکن کشورهای مختلف مثل کانادا، استرالیا، آلمان، نروژ، ترکیه، عمان و دبی برای درمان مراجعه میکنن [1].
به دلیل ماهیت دیجیتال ارتودنسی نامرئی، درمان به گونه ای برنامه ریزی میشه که حداقل حضور رو نیاز داشته باشین و بخش زیادی از مسیر درمان به صورت دوراپزشکی (Remote Monitoring) پیگیری میشه. در صورت نیاز و بر اساس ارزیابی درمان ممکنه در برخی مقاطع درمان ویزیت حضوری تکمیلی نیاز باشه تا دقت و ایمنی درمان حفظ بشه.
مدل کار معمولا این طور است:
این روش باعث میشه حتی اگر خارج از تهران یا خارج از ایران زندگی میکنی، بتونی با کمترین رفت و آمد تحت درمان ارتودنسی نامرئی قرار بگیری، بدون اینکه کیفیت درمان کاهش پیدا کنه.
اگر ساکن خارج از تهران یا خارج از کشور هستی و میخوای بدونی آیا امکان انجام درمان برات وجود داره، میتونی از طریق واتساپ هماهنگ کنی تا شرایطتت بررسی بشه.
لینک واتساپ
به طور کلی ارتودنسی به شرط داشتن دندان و لثه های سالم محدودیت سنی نداره. ولی در مطب دکتر نبی ارتودنسی شفاف عمدتا برای بزرگسالان و جوانان مسئولیت پذیر انجام میشه و برای کودکان و بعضی نوجوانان توصیه نمیکنیم. البته از نظر علمی میتونن انجام بدن ولی دلیل این موضوع، نیاز شدید به همکاری بیمار در درمانهای متحرک هست.
در سنین کودکی و نوجوانی معمولا:
به همین دلیل، در کلینیک دکتر نبی، ارتودنسی نامرئی را به طور روتین برای کودکان و اغلب نوجوانان توصیه نمیشه. در مواردی که نیاز به مداخله زودهنگام برای اطفال وجود داره، میتونید جزئیات رو در صفحه ارتودنسی اطفال بخونید.
توصیه میکنیم:
در موارد خاص و پس از ارزیابی دقیق شرایط، ممکنه برای برخی نوجوانان خاص تصمیم گیری بشه، اما اولویت ما همیشه موفقیت درمان و نتیجه پایداره، نه صرفا انتخاب یک روش پرطرفدار.
در جواب من به اینکه ارتودنسی نامرئی بهتره یا ثابت همیشه اینه که هیچ کدوم ذاتا بهتر یا بدتر نیستند، به این بستگی داره برای چه کسی و با چه شرایطی استفاده بشن.
ارتودنسی ثابت برای بعضی نامرتبیهای شدید، کیسهای جراحی فک (ارتوسرجری) یا برای افرادی که حوصله و نظم استفاده از پلاکها رو ندارن انتخاب مطمئن تریه، چون همیشه روی دندونه و به همکاری بیمار کمتر وابسته هست.
از طرف دیگه، ارتودنسی نامرئی برای کسانی که نامرتبی خفیف تا متوسط دارن، ظاهر براکتها رو دوست ندارند و میتونن منظم از الاینرها استفاده کنن، معمولا تجربه ی راحتتر و زیباتری ایجاد میکنه.
وظیفه ی ما این نیست که یک روش رو به همه پیشنهاد بدیم، بلکه اینه که برای هر بیمار، مناسبترین روش رو با توجه به شرایط و درخواست بیمارانتخاب کنیم تا درمان هم موفق باشه هم نتیجه اش موندگار.
ارتودنسی هیبرید روشی هست که در اون بخشی از درمان با ارتودنسی ثابت شروع میشه و بعد ادامه ی مسیر با الاینرهای شفاف انجام میگیره.
این روش کمک میکنه حرکات سخت تر دندونها دقیق تر کنترل بشه و در عین حال، بیمار در بخش زیادی از درمان از راحتی و ظاهر نامرئی الاینرها استفاده کنه.
در بعضی موارد، این ترکیب حتی میتونه باعث کوتاه تر شدن زمان درمان بشه، البته نه همیشه؛ چون سرعت درمان کاملا به شرایط دندونها و برنامه ریزی بستگی داره.
Invisalign Official Website
مواردی که موفقیت درمانت رو تضمین میکنه:
1. تجربه دندانپزشک در طراحی دیجیتال دقیق و علمی حرکت دندونها
2. همکاری شما و استفاده روزانه 20 تا 22 ساعت از الاینرها
3. دقت و کیفیت ساخت پلاکها
4. پیگیری منظم در ویزیتهای دوره ای
در مطب دکتر نبی، با بیش از 30 سال تجربه ارتودنسی و 8 سال تمرکز تخصصی روی درمانهای الاینری، طراحی و برنامه ریزی حرکت دندانها به صورت کاملا شخصی سازی شده انجام میشه. این رویکرد باعث شده درمان قابل پیش بینی تر باشه و بیمار از ابتدا بدونه چه مسیری رو طی میکنه. برخلاف مراکزی که طراحی را به لابراتوار میسپارن، تمام مراحل در مطب ما انجام میشه. لازم به ذکر که ارزیابی نهایی امکان درمان تنها پس از معاینه و بررسی مدارک تشخیصی انجام میشه.
هزینه ارتودنسی نامرئی کاملا بستگی به میزان نامرتبی دندونات و تعداد پلاکهایی که نیاز داری داره. معمولا بین 35 میلیون تا 70 میلیون هست.
ارتودنسی نامرئی یه روش راحت و دقیق برای صاف کردن دندونهاست، بدون سیم و براکت، کم درد و قابل پیش بینی. موفقیتش به طراحی دقیق، کیفیت ساخت و همکاری خودت بستگی داره.
اگر قصد داری بدونی آیا ارتودنسی نامرئی برای شرایط شما مناسبه یا نه میتونی برای مشاوره تخصصی و ارزیابی دقیق وقت ویزیت خودت رو در مطب دکتر نبی رزرو کنی.
02188873135 - 02188873136 - 09912806784
نشانی: تهران- میدان ونک- گاندی شمالی- پلاک 8- طبقه دوم واحد 10- مطب ارتودنسی دکتر نبی
1. پروندههای درمانی بیماران ارتودنسی نامرئی طی حدود ۸ سال فعالیت تخصصی دکتر نبی
2. تجربه بالینی و سوابق درمانی ثبتشده در مطب دکتر نبی