info@drnabi.com 02188873135

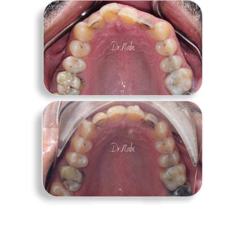
بیمار آقای 47 ساله، که برای مرتب شدن دندانها و رفع دیپ بایت (همپوشانی عمودی بیش از حد فک بالا و پایین) مراجعه کردن و تمایل داشتن با روشی درمان بشن که مشخص نباشه. در حدود یکسال درمان با  ارتودنسی نامرئی نتیجه ایده آل حاصل شد.


درمان دیپ بایت و نامرتبی متوسط با ارتودنسی شفاف

نام مشتری
: آقای ر- ز
سرویس
: ارتودنسی نامرئی، مزایا، هزینه و الاینر شفاف با دکتر نبی
تاریخ شروع
: Oct 19, 2020
تاریخ پایان
: Dec 04, 2021
وضعیت
: Completed